Mặt Dán Sứ Veneer

Dán sứ Veneer

1. Tổng quan về mặt dán sứ veneer

1.1 Dán răng sứ veneer là gì?

Đây là phương pháp sử dụng miếng dán veneer có độ dày chỉ khoảng 0.3 – 0.5mm để dán lên bề mặt răng và khắc phục được những khuyết điểm của răng. Cùng với mục đích mang đến tính thẩm mỹ cho răng nhưng nếu phương pháp bọc răng sứ cần phải thực hiện mài cùi răng thì dán sứ Veneer chỉ cần mài một lớp mỏng và không gây cộm cho răng.

Phương pháp dám răng sứ veneer sử dụng miếng dán veneer có độ dày chỉ khoảng 0.3 – 0.5mm để dán lên bề mặt răng và khắc phục được những khuyết điểm của răng

Phương pháp dám răng sứ veneer sử dụng miếng dán veneer có độ dày chỉ khoảng 0.3 – 0.5mm để dán lên bề mặt răng và khắc phục được những khuyết điểm của răng

1.2 Đối tượng thực hiện dán sứ veneer

Giải đáp được thắc mắc “Dán răng sứ veneer là gì“, nhiều người sẽ thắc mắc liệu mình có thuộc đối tượng được thực hiện phương pháp này không.

Đối tượng chỉ định:

Dán răng sứ Veneer được khuyến cáo sử dụng cho những đối tượng như:

  • Răng mòn, chân răng ngắn.
  • Răng bị chấn thương, sứt mẻ.
  • Răng thưa, có khe hở giữa răng.
  • Răng hơi lệch, hình dạng bất thường hoặc phát triển không đều
  • Răng bị đổi màu, ố vàng do dùng kháng sinh, hút thuốc hoặc đã từng tẩy trắng răng nhưng không hiệu quả.
Một trường hợp chỉ định làm mặt sứ veneer

Một trường hợp chỉ định làm mặt sứ veneer

Đối tượng chống chỉ định:

Phương pháp này sẽ không phù hợp với những đối tượng:

  • Bị viêm nha chu.
  • Răng bị mọc lệch hoặc sai khớp cắn mức độ nặng.
  • Bị sâu răng hoặc đã từng thực hiện chữa tủy.
Kết quả trước và sau khi thực hiện dán sứ veneer

Kết quả trước và sau khi thực hiện dán sứ veneer

1.3 Yếu tố ảnh hưởng đến dán sứ veneer

Dán sứ veneer là một phương pháp thẩm mỹ răng hiệu quả tuy nhiên không phải thực hiện ở bất cứ cơ sở nha khoa nào cũng đều có chất lượng như nhau. Tuổi thọ của dán sứ veneer phụ thuộc vào các yếu tố như:

– Chất lượng của miếng dán sứ

Tại các cơ sở nha khoa lớn và chất lượng, miếng dán sứ sẽ được nhập khẩu từ các nước có nền nha khoa hàng đầu, Miếng dán sứ kém chất lượng có nguy cơ gây hại cho răng như khiến răng bị nứt vỡ, nhiễm màu, dễ bong tróc…. Ngoài ra, khách hàng còn dễ mắc các bệnh lý răng miệng như sâu răng, hôi miệng, viêm nha chu… và thậm chí là mất răng.

Chất lượng miếng sứ ảnh hưởng rất nhiều đến độ bền của răng

Chất lượng miếng sứ ảnh hưởng rất nhiều đến độ bền của răng

– Kỹ thuật chuyên môn của người thực hiện

Để miếng dán sứ được dán lên hiệu quả, cần phải tính toán chính xác cần mài răng bao nhiêu, loại răng sứ nào phù hợp, dán lên vị trí như thế nào….. Chính vì vậy, dán sứ veneer phải được thực hiện bởi bác sĩ có tay nghề cao và đã có nhiều năm kinh nghiệm thực hiện phương pháp này.

– Hệ thống trang thiết bị

Khi thực hiện dán sứ veneer, hệ thống trang thiết bị là yếu tố ảnh hưởng lớn đến độ bền của miếng sứ. Nếu các thiết bị không đủ hiện đại, cơ sở vật chất không được vệ sinh sạch sẽ và đảm bảo yếu tố vô trùng, khả năng cao bạn sẽ bị nhiễm khuẩn và mắc các bệnh lý răng miệng.

2. Ưu điểm của phương pháp dán sứ veneer

2.1 Có tính thẩm mỹ cao

Thay vì sở hữu hàm răng bị ố vàng và luôn cảm thấy tự ti, bạn sẽ được đổi diện mạo khi sở hữu hàm răng trắng sáng sau khi dán sứ veneer.

2.2 Độ bền cao

Với miếng dán nhập khẩu sẽ có độ bền cao, trung bình khoảng 10 – 15 năm và được bảo hành (nếu thực hiện ở các cơ sở uy tín) nên bạn có thể hoàn toàn yên tâm khi sử dụng.

2.3 Không gây tác động đến răng thật

Dán sứ không tác động quá nhiều và gây tổn hại đến răng thật nên được rất nhiều khách hàng lựa chọn thực hiện. Ngoài ra, dán sứ veneer còn được kiểm chứng không gây nên tình trạng chết tủy và rất ít trường hợp phải chữa tủy.

2.4 Chức năng ăn nhai không bị ảnh hưởng

Phương pháp này chỉ tác động lên mặt ngoài của răng nên việc ăn uống hàng ngày của khách hàng sẽ không bị ảnh hưởng.

Việc ăn uống của bạn sẽ không bị ảnh hưởng nhiều sau khi dán sứ, tuy nhiên cần lưu ý không nên ăn những đồ đậm màu, đồ ăn quá cứng hoặc dai gây tổn thương cho miếng dán cũng như răng thật

Việc ăn uống của bạn sẽ không bị ảnh hưởng nhiều sau khi dán sứ, tuy nhiên cần lưu ý không nên ăn những đồ đậm màu, đồ ăn quá cứng hoặc dai gây tổn thương cho miếng dán cũng như răng thật

3. Quá trình dán răng sứ veneer

3.1 Thăm khám tổng quát

Bác sĩ tiến hành kiểm tra răng miệng tổng quát và chụp X-quang cho bệnh nhân, kiểm tra xem có phù hợp để dán sứ Veneer không. Nếu có bệnh lý, sẽ phải thực hiện điều trị bệnh lý trước khi dán sứ.

3.2 Mài răng

Để chuẩn bị cho làm răng, nha sĩ cần phải mài bỏ men răng ở mặt trước và hai bên để tạo điều kiện thuận lợi dán veneer.

3.3 Lấy dấu hàm, chọn màu răng

Để biết được kích thước các răng, bác sĩ sẽ lấy dấu hàm bằng cao su nha khoa chuyên biệt, sau đó chọn màu sắc răng tương đồng với với màu răng hiện tại của bệnh nhân.

Lấy dấu hàm, chọn màu răng

3.4 Tạo hình mô phỏng veneer

Mẫu lấy hàm sẽ được gửi đến Labo để mô phỏng hình ảnh trên phần mềm 3D CAD/CAM. Trong lúc chờ đợi, nha sĩ sẽ gắn tạm răng giả lên.

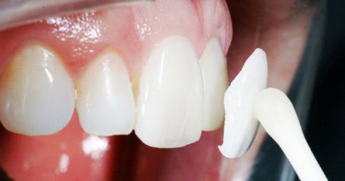
3.5 Dán veneer răng

Sau khi veneer được gửi về, bác sĩ sẽ hẹn bệnh nhân đến đặt thử và điều chỉnh sao cho miếng dán phù hợp, không gây khó chịu cho bệnh nhân. Sau khi đã hoàn tất, bề mặt răng sẽ cũng như khoang miệng sẽ được làm sạch và tiến hành dán lên.

Dán veneer răng

4. Sau khi dán sứ veneer cần lưu ý gì?

4.1 Chế độ chăm sóc

  • Đánh răng thường xuyên và đúng cách hàng ngày.
  • Sử dụng những loại bàn chải mềm và có kích thước phù hợp.
  • Kết hợp dùng thêm chỉ nha khoa, nước súc miệng, tăm nước….
  • Thăm khám nha khoa định kỳ 3 – 6 tháng/lần để bác sĩ kiểm tra miếng dán veneer cũng như tình trạng răng miệng.
Thăm khám nha khoa định kỳ 3 – 6 tháng/lần là việc vô cùng cần thiết, giúp bác sĩ kiểm tra miếng dán veneer cũng như tình trạng răng miệng.

Thăm khám nha khoa định kỳ 3 – 6 tháng/lần là việc vô cùng cần thiết, giúp bác sĩ kiểm tra miếng dán veneer cũng như tình trạng răng miệng.

4.2 Chế độ ăn uống

  • Việc hút thuốc lá cần được loại bỏ nếu bạn đang có thói quen xấu này.
  • Hạn chế tối đa những thực phẩm, đồ uống đậm màu, có chất tạo màu.
  • Hạn chế ăn những đồ ngọt, quá cứng, quá dai, dùng răng để xé dẫn đến tổn thương.
  • Chú ý nhai đều 2 bên hàm, không dùng 1 hàm quá lâu.

Hy vọng bài viết trên đã giúp các bạn giải đáp được băn khoăn “Dán răng sứ veneer là gì”. Việc tìm hiểu kỹ lưỡng các phương pháp sẽ giúp bạn chuẩn bị tốt cho quá trình thực hiện cũng như có chế độ chăm sóc toàn diện cho răng miệng.

 

Share on facebook
Share