Điều trị nha chu

Bệnh nha chu là bệnh thuộc vùng miệng rất phổ biến ở lứa tuổi trung niên, người già và là một trong những nguyên nhân thường gặp của tình trạng mất răng ở người lớn. Bệnh diễn tiến thầm lặng nên rất dễ bị bỏ qua, thường được phát hiện rất trễ khi bệnh đã nặng.

Ngoài ra, vệ sinh răng miệng kém tạo điều kiện cho vi khuẩn bám trên răng, và phát triển, từ đó gây viêm lợi. Đây được xem là nguyên nhân chính gây bệnh viêm nha chu.

Viêm nha chu

Viêm nha chu

Một số yếu tố sau làm tăng nguy cơ gây bệnh như:

  • Không chú ý chăm sóc răng miệng.
  • Chế độ dinh dưỡng không hợp lý, khoa học.
  • Suy giảm sức đề kháng do bệnh lý (HIV/AIDS) hoặc đang mang thai.
  • Thường xuyên hút thuốc lá.
  • Mắc một số bệnh như đái tháo đường, cơ thể bị nhiễm trùng, …

1. Các giai đoạn của bệnh viêm nha chu

Các giai đoạn của viêm nha chu

Bệnh viêm nha chu tiến triển qua 4 giai đoạn:

  • Giai đoạn 1: Vôi và cao răng hình thành do vệ sinh răng miệng không sạch sẽ, từ đó vi khuẩn tích tụ thành mảng bám ở kẽ răng, cổ răng, viền lợi và gây kích thích nướu, dẫn đến viêm lợi.
  • Giai đoạn 2: Sưng phồng và chảy máu ở lợi, đặc biệt là khi nhai thức ăn hoặc chải răng.
  • Giai đoạn 3: mủ ở nướu do vi khuẩn tích tụ lâu ngày mà không được điều trị kịp thời.
  • Giai đoạn 4: Tụt lợi do tình trạng xương ổ răng bị phá hủy cấu trúc. Khi các tổ chức xung quanh răng không còn chắc chắn sẽ khiến răng bị lung lay và có thể dẫn đến mất răng.

Bệnh nha chu có thể xuất hiện từ rất sớm ở cả nam lẫn nữ. Khi lợi bị viêm, phần nướu sưng rồi xẹp. Nếu bỏ qua dấu hiệu này vì nghĩ bệnh đã khỏi sẽ khiến bệnh tiến triển nặng hơn. Vì vậy, cần sớm nhận biết các dấu hiệu của bệnh để kịp thời thăm khám nha sĩ và điều trị.

2. Phương pháp điều trị bệnh nha chu

a. Điều trị khẩn cấp

 

Khi ở vùng nướu lợi hoặc niêm mạc có ổ mủ (áp-xe), sẽ có chỉ định điều trị khẩn cấp.

Biểu hiện thường là sưng đỏ niêm mạc, đau nhiều hay ít, sờ thấy phập phều. Ổ mủ có thể tạm thời khỏi khi bệnh nhân tự dùng thuốc kháng sinh, chống viêm, nhưng bệnh vẫn tồn tại và đi vào trạng thái mạn tính, sau đó thỉnh thoảng bộc phát cơn cấp tính, cứ tái diễn theo chu kỳ và ngày càng trầm trọng.

Điểu trị nha chu

Điều trị nha chu khẩn cấp

b. Điều trị không phẫu thuật

  • Chỉnh sửa hoặc thay thế tất cả những miếng trám và phục hình không đúng kỹ thuật.
  • Đánh giá và chỉ định răng cần nhổ (không thể giữ được).
  • Cố định răng (nếu răng lung lay).
  • Thực hiện phục hình tạm thời (nếu cần thiết).
  • Cạo cao răng – xử lý mặt gốc răng
  • Chấm các thuốc sát khuẩn, chống viêm.
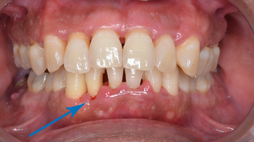
Răng bị viêm nha chu

Răng bị viêm nha chu

c. Điều trị phẫu thuật
  • Phẫu thuật chỉ áp dụng khi đã áp dụng các biện pháp điều trị thông thường nhưng bệnh không có dấu hiệu đáp ứng. Thường có các loại sau:
  • Phẫu thuật loại bỏ túi nha chu: Làm giảm độ sâu túi nha chu, thuận lợi cho việc vệ sinh làm sạch mảng bám vi khuẩn trên răng.
  • Phẫu thuật tái tạo: Xương và mô nha chu bị phá hủy tạo thành túi nha chu xung quanh răng. Các túi nha chu ngày càng sâu, chứa đựng nhiều vi khuẩn và tiêu hủy thêm nhiều xương và mô nha chu làm cho răng lung lay nhiều. Sau phẫu thuật, một phần xương và mô nha chu có thể tái tạo trở lại.
  • Phẫu thuật ghép mô mềm: Chân răng bị bộc lộ là hậu quả của sự tụt lợi. Phẫu thuật ghép mô mềm sẽ phục hồi những hư hại và ngăn chặn sự tụt lợi tiếp tục dẫn đến sự phá hủy mô lợi và xương quanh răng. Phẫu thuật có thể tiến hành ở 1 hoặc nhiều răng đem lại sự hài hòa của đường viền lợi và cải thiện tình trạng ê buốt răng.
Lấy vôi răng

Lấy vôi răng

d. Điều trị duy trì

  • Sau khi áp dụng các phương pháp điều trị tích cực và bệnh ổn định, người bệnh cần được kiểm tra, theo dõi, thăm khám định kỳ và áp dụng điều trị duy trì nhằm mục đích kiểm soát, ngăn ngừa bệnh tái phát và tiến triển.
Share on facebook
Share