Nguyên tắc điều trị và quy trình lấy tủy răng
Các bệnh lý tủy răng là những bệnh thường gặp và chiếm tỷ lệ cao trong các bệnh về răng miệng gây ảnh hưởng lớn đến sức khỏe răng miệng cũng như sức khỏe toàn thân. Nếu bệnh không được điều trị kịp thời có thể dẫn đến những biến chứng nặng nề ảnh hưởng đến chức năng ăn nhai và thẩm mỹ.

1. Tủy răng là gì?
Tủy răng là một mô liên kết đặc biệt gồm mạch máu và thần kinh, nằm trong hốc tủy và được bao quanh bởi mô cứng của răng (gồm men và ngà răng). Tủy răng đi vào từ đỉnh của chân răng.
Hốc tủy là một hốc ở giữa răng. Hốc ở phần thân răng gọi là buồng tủy và tủy răng nằm trong đó gọi là tủy buồng. Hốc ở phần chân răng gọi là ống tủy và tủy răng nằm trong đó gọi là tủy chân. Mỗi chân răng có thể có 1 hoặc nhiều ống tủy, nhiều ống tủy phụ. Các ống tủy của một răng được gọi là hệ thống ống tủy.
Đỉnh của chân răng, nơi có mạch máu và thần kinh đi vào gọi là chóp răng (cuống răng).
Tủy răng tham gia vào chức năng cảm giác, nuôi dưỡng và sửa chữa ngà răng.

Cấu trúc của một răng
2. Điều trị tủy hay chữa tủy răng là gì?
Điều trị tủy răng là quá trình loại bỏ hết phần tủy răng (cả tủy buồng và tủy chân). Sau khi lấy hết mô tủy, nha sĩ sẽ tiến hành làm sạch, tạo dạng và hàn kín lại hệ thống ống tủy.
Nhiều năm về trước, những răng có bệnh lý tủy đều phải nhổ bỏ. Ngày nay, việc điều trị tủy giúp bạn giữ được răng, tránh được các biến chứng sau này và giữ cho răng bền chắc hơn.

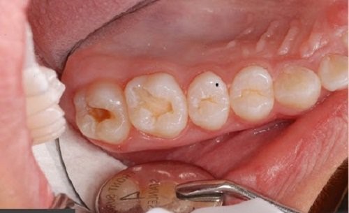
Răng sâu đến tuỷ
3. Tại sao cần phải điều trị tủy răng?
Vì tủy răng không có khả năng tự lành thương, nên khi bị tấn công, tủy răng sẽ trở nên yếu, viêm nhiễm và chết. Nếu tủy răng bị bệnh không được điều trị, viêm nhiễm từ tủy răng sẽ lan xuống vùng cuống răng gây nhiễm trùng cuống, nhiễm trùng lan rộng làm xương quanh răng bị viêm nhiễm, tiêu đi, răng lung lay và gây ra nhiều hệ lụy nguy hiểm khác ảnh hưởng đến sức khỏe răng miệng và toàn thân.
Ngoài nguyên nhân gây viêm nhiễm, những cơn đau do tủy bị viêm thường dữ dội, dùng thuốc giảm đau không đỡ, khiến bạn không thể chịu đựng được và bạn phải tìm đến sự hỗ trợ chuyên nghiệp của nha sĩ ngay.
Khi răng phải nhổ bỏ sẽ để lại khoảng trống mất răng trong miệng. Khoảng trống này sẽ gây khó chịu cho bạn, ảnh hưởng đến chức năng ăn nhai, thẩm mỹ, sinh hoạt và công việc hàng ngày. Bên cạnh đó, việc làm một chiếc răng giả để bù vào răng đã mất đôi khi phức tạp, ảnh hưởng đến các răng và các tổ chức xung quanh cũng như khó có thể mang lại cảm giác như một răng thật.

Viêm tuỷ răng gây đau nhức khó chịu
4. Những răng nào cần điều trị tủy răng?
Đầu tiên là những răng có bệnh lý tủy như: sâu răng chạm vào tủy, tủy không khỏe mạnh do bị kích thích bởi chất hàn, những răng bị mài nhiều, tủy bị hở do tai nạn, vỡ răng,…
Tiếp theo là những răng có bệnh lý vùng chóp như: có ổ nhiễm trùng ở vùng cuống răng, ổ nhiễm trùng tạo nên ổ mủ lớn (abscess) ở nướu và các vùng xung quanh gây sưng mặt, sưng nướu, đau khi ăn nhai,
Những răng cần phải chữa tủy do yêu cầu của làm răng giả (làm cầu, chụp răng), làm răng thẩm mỹ,…

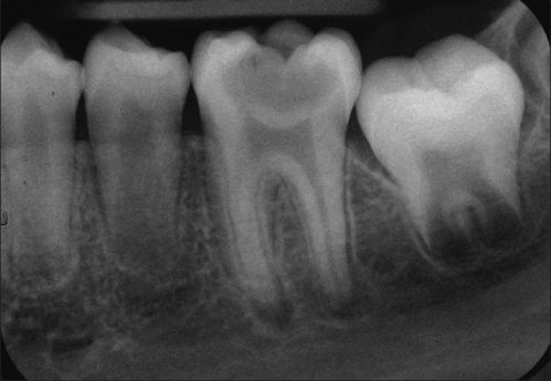
Phim Xquang quanh chóp cho thấy sâu răng đến tuỷ

Khi bị sâu răng chạm đến tủy, bạn có thể phải điều trị tủy răng
5. Dấu hiệu răng cần điều trị tủy
Các răng nên điều trị tủy khi phát hiện răng bị nứt gãy, răng bị sâu nặng vào đến phần tủy gây đau hoặc răng bị chấn thương gây tổn thương tủy.
Dấu hiệu rõ nhất cho thấy bạn cần điều trị tủy ngay là đau răng thành từng cơn, có thể đau ở mức độ nhẹ tại chỗ hoặc đau dữ dội lan ra các răng xung quanh và lên đầu, đau có thể giật theo mạch nhịp đập. Cơn đau xuất hiện tự nhiên hoặc khi có kích thích nóng, lạnh hoặc thay đổi áp suất. Thuốc giảm đau không giúp bạn nhiều hoặc hầu như không có tác dụng.
Đau tủy răng là một cấp cứu nha khoa. Trong nhiều trường hợp, bạn không thể chịu đựng được cơn đau và phải nhờ đến sự giúp đỡ của nha sĩ ngay.
Dấu hiệu tiếp theo là nướu ở vùng có răng bị sâu hoặc chấn thương bị sưng, có hoặc không có sưng mặt kèm theo.

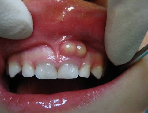
Abscess quanh chóp răng
Có thể vùng nướu ở răng bị sâu hoặc chấn thương có nốt nổi lên như mụn, ấn vào thấy có dịch hoặc mủ vàng chảy ra. Bạn hoàn toàn không thấy đau răng.
Sưng mặt, sưng lợi hay có nốt mụn ở lợi là dấu hiệu cho thấy vùng chóp răng đã bị nhiễm trùng do tủy răng chết mà không được chữa trị kịp thời. Lúc này nếu có chụp film răng, nha sĩ sẽ chỉ cho bạn thấy có vùng nhiễm trùng ở chóp răng. Vùng nhiễm trùng có thể chỉ ở tại chỗ hoặc đã lan rộng ra xung quanh.
6. Nguyên tắc điều trị tủy răng
Với mục đích là giữ được răng để đảm bảo được chức năng ăn nhai, việc lấy tủy răng hay điều trị tủy yêu cầu 3 nguyên tắc như sau:
- Vô trùng:
- Loại bỏ hết toàn bộ tủy trong răng và hệ thống ống tủy phải được làm sạch. Các ống tủy phải được tạo hình phù hợp, tạo điều kiện thuận lợi cho việc trám bít ống tủy.
- Các ống tủy phải được trám bít kín theo 3 chiều trong không gian.
















