Răng khôn có tác dụng gì? Khi nào nên nhổ?
Răng khôn không có ý nghĩa gì về chức năng nhai bởi hàm răng 28 cái đã đủ để con người ăn uống thường ngày. Hơn nữa, răng nằm sâu bên trong hàm nên không mang ý nghĩa thẩm mỹ cao, hơn nữa còn có thể gây xô lệch mất thẩm mỹ.
1. Răng khôn là gì?
Thực chất răng khôn là tên gọi được dùng để chỉ những chiếc răng hàm mọc cuối cùng của mỗi bên hàm, hay gọi là răng số 8. Chiếc răng này không xuất hiện ở trẻ nhỏ khi mới mọc răng hay khi đã thay răng mà xuất hiện cuối cùng, thường ở người trưởng thành 18 tuổi trở lên.

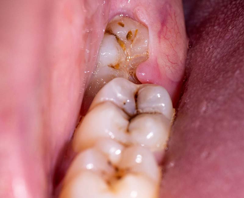
Do răng khôn mọc sau cùng mà vòm miệng của con người thường không có đủ chỗ để chúng mọc bình thường. Do đó, răng khôn mọc lệch, xô lẫn nhau, mọc chen chỗ các răng khác, dẫn đến sưng, đau đớn.
Có nhiều trường hợp gặp phải tình trạng những chiếc răng khôn mọc ngầm, mọc lệch không can thiệp kịp thời, khiến phần nướu răng sưng tấy, dễ tích đọng thức ăn gây hôi miệng, viêm nướu…
2. Răng khôn có tác dụng gì?
Thực chất những chiếc răng số 8 này gọi là răng khôn bởi chúng thường mọc khi con người đã trưởng thành, ở độ tuổi khôn lớn, có thể tự nhận thức mọi thứ.
Do xuất hiện muộn, phải trải quá trình mọc chân răng và đủ lớn thì răng khôn mới có thể bắt đầu nhú lên khỏi lợi. Rất nhiều trường hợp răng khôn mọc không thuận lợi, khiến mọi người gặp không ít đau đớn và phiền toái. Do đó, với nhiều người, răng khôn gần như không có tác dụng về mặt thẩm mỹ hay chức năng nhai.

Răng khôn gần như không có tác dụng về mặt thẩm mỹ hay chức năng nhai
Nói cách khác, răng khôn còn là “kẻ thù” của nhiều người bởi chúng mang lại phiền toái và đau đớn rất nhiều. Hầu như răng khôn đều phải nhổ, dù sớm dù muộn. Theo kết quả điều tra của Tổ Chức Chăm Sóc Răng Miệng Hoa Kỳ, ước tính tới nay có khoảng 85% răng khôn bị nhổ bỏ thay vì được tồn tại đến hết quãng đời.
Cũng có nhiều người quan niệm rằng răng khôn không tự nhiên mà mọc lên, hay răng khôn có ý nghĩa riêng của nó nên không nên nhổ bỏ. Hàm răng đủ của con người là có 32 răng, trong đó 4 răng khôn ở cả hàm trên và hàm dưới.
Không những không có ý nghĩa đặc biệt gì mà mọc răng khôn còn gây hàng loạt biến chứng nguy hiểm. Đầu tiên, quá trình mọc răng khôn bao giờ cũng gây những cơn đau nhức khó chịu hơn là mọc những răng khác.
Răng khôn mọc còn có thể gây nhiều biến chứng như: viêm nhiễm, đau nhức khi bị mọc răng khôn. Răng khôn mọc lệch, mọc ngầm khiến bệnh nhân sưng, đau nhức trong miệng nên không thể nhai thức ăn.
Nếu tình trạng viêm nhiễm do răng khôn kéo dài mà không khám hay can thiệp kịp thời sẽ gây phá hủy xương xung quanh chiếc răng này, điều tệ hại hơn là dễ làm xô cả hàm răng còn lại.
3. Khi nào nên nhổ răng khôn?
Lý do cần nhổ răng khôn là bởi răng khôn thường mọc ở các vị trí không thuận lợi, hoặc khi xương hàm đã hết chỗ mà răng khôn lại nằm quá sâu trong hàm. Việc này sẽ khiến khó vệ sinh, tạo môi trường thuận lợi cho vi khuẩn phát triển, sinh sôi và tăng nguy cơ viêm nướu, sâu răng.

Răng khôn gây đau đớn, khó chịu với nhiều người
Đã có nhiều trường hợp mọc răng khôn nhưng không nhổ bỏ và không được chữa trị kịp thời nên gây lây lan nhiễm trùng sang các khu vực xung quanh.
- Cần nhổ răng khôn khi răng khôn mọc gây các biến chứng đau, u nang, nhiễm trùng lặp đi lặp lại, ảnh hưởng đến các răng lân cận.
- Khi răng khôn chưa gây biến chứng nhưng có khe giắt thức ăn giữa răng khôn và răng bên cạnh, tương lai sẽ ảnh hưởng đến răng bên cạnh thì cũng nên nhổ bỏ để ngăn ngừa biến chứng.
- Khi răng khôn mọc thẳng, đủ chỗ, không bị xương và nướu cản trở nhưng không có răng đối diện ăn khớp, khiến răng khôn trồi dài tới hàm đối diện, tạo bậc thang giữa các răng, gây nhồi nhét thức ăn, lở loét nướu hàm thì nên nhổ bỏ.
- Răng khôn mọc thẳng, đủ chỗ, không bị cản trở song hình dạng bất thường, dị dạng, nhỏ, gây nhồi nhét thức ăn với răng bên cạnh, tương lai sẽ gây sâu răng và viêm nha chu răng bên cạnh thì nên chỉ định nhổ.
- Răng khôn có bệnh nha chu hoặc sâu răng, bệnh nhân cần làm chỉnh hình, trồng răng giả.
- Răng khôn là nguyên nhân của một số bệnh toàn thân khác.

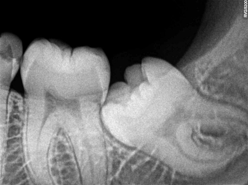
Phim X-quang chẩn đoán răng khôn
Không phải bất cứ trường hợp răng khôn nào cũng cần phải nhổ, và không phải tất cả răng khôn đều phải nhổ. Có thể bảo tồn giữ răng khôn ở những trường hợp sau:
- Răng khôn mọc thẳng, bình thường, không bị kẹt với mô xương và nướu, không gây biến chứng. Trường hợp này nếu giữ lại thì bệnh nhân cần dùng chỉ nha khoa và bàn chải chuyên dụng để làm sạch triệt để.
- Bệnh nhân mắc các bệnh lý mạn tính như tim mạch, rối loạn đông cầm máu, đái tháo đường…
- Răng khôn liên quan trực tiếp đến một số cấu trúc quan trọng như xoang hàm, dây thần kinh…

Tiểu phẫu răng khôn















